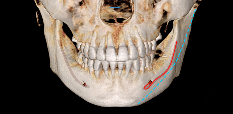
通过X-ray和CT拍摄,考虑准确的神经线位置和肌肉形状后诊断手术方法。 下巴宽度和长度根据患者想要的模样来设计。
最终都是为了打造美丽脸部线条的手术方法。 面部轮廓整形经验丰富的 首尔大学医学博士诊断理想的面部比例,以熟练的技术和细腻的感觉配合患者进行手术。

INFORMATION SURGERY
手术时间
1 ~ 1.5小时
麻醉方法
全身麻醉
来院治疗
1~2次
恢复期间
7天后
RECOMMEND SURGERY
1. 下巴短的情况
2. 下巴不对称的情况
3. 下巴大、下颚宽的情况
4. 下巴长或凸出的情况
下巴手术
下巴手术根据下巴形状不同,手术方法也不同。
用“T”截骨截取中间的骨骼,缩小下巴宽度, 从正面获得切实的效果。

手术前

手术后3个月

手术前

手术后3个月

1. 定制设计
根据下巴宽度调节缩小量的设计

2. 骨切除
通过口腔切开将下巴末端骨骼切除

3. 骨再配置
调整剩余两侧骨骼,缩小下巴宽度

4. 固定及颌线整理
固定骨骼后顺畅切除侧颌骨
通过横向截骨去除中间骨头,缩短下巴长度,平滑地削掉下颌角,获得下巴变小的效果。

手术前

手术后4个月

手术前

手术后4个月

1. 骨切除
横向削骨以缩短长度

2. 骨移动
将下骨向上提拉,缩小下巴长度

3. 固定及颌线整理
固定骨骼后顺畅切除侧颌骨
缩小宽下巴,向下移动骨骼,延长长度,矫正短下巴,打造修长、清晰的面部线条。

手术前

手术后1个月

手术前

手术后4个月

1. 定制设计
设计下巴骨骼延长的长度和缩小的幅度

2. 截骨及骨再配置
不去除截的骨骼,调整至下巴下方,延长长度

3. 骨固定
将两侧骨骼放在剩余骨骼上固定,缩小宽度

4.下颌线整理
顺畅切除两侧凸出的下颌骨 *在恢复过程中,骨头会长在空旷的空间里。
下巴横向截骨向前移动固定,不仅从侧面而正面也能获得明显效果。

手术前

手术后7个月

手术前

手术后7个月

1. 截骨
下巴横向切骨

2. 骨前移并固定
将下巴骨向前移动并固定
AB 解决方案
如正面也想要秀气的脸型,则最好同时进行下巴和下颌角手术。 根据个人的下巴形状和喜好,通过多种切骨法打造出美丽的下颌形状。

仅进行下巴缩小的情况
凹凸不平的下巴线条

同时进行下巴缩小+下颌角缩的情况
显得光滑、秀气的下巴线条

仅进行下颌角缩小的情况
正面效果不足的下巴线条

同时进行下颌角缩小+下巴缩小的情况
从正面侧面,下颌线都很纤细
采用下巴与下颌角综合手术,无二次角 打造光滑的下巴线条与侧面下颌看起来不宽现象的清秀面容。
下巴手术、AB的理由
通过3D-CT掌握神经线路径后,计划切骨范围,避开神经线进行切除

同时施行下颌角缩小术,打造无阶梯差、流畅的下巴线条

考虑到脸部的均衡,为了调节下巴的长度和位置、形状,根据适合个人下巴形状进行量身定制式手术。
正面

手术前
8个月后
45度

手术前
8个月后
侧面

手术前
8个月后
同时进行下巴手术和下颌角手术,从侧面和正面也能打造出修长、自然的面部线条

手术前

6个月后

手术前

5个月后
效果、安全、美丽都不放过 拥有面部骨骼手术多种诀窍的专业医生可实现最佳手术结果。

下巴手术 售后服务
消肿激光

淤青、肿胀管理
通过医疗用LED治疗设备 恢复术后疤痕, 有助于缓解浮肿和痣。
LDM

皮肤再生与免疫力增强
利用超声波, 促进皮肤细胞的活动, 镇定肌肤,再生肌肤。
高周波管理

淋巴循环与恢复管理
把高频能量传递到皮肤深处, 促进血液和淋巴循环, 有助于快速恢复。
护理包

在家中也可以进行系统的护理
为了快速恢复,亲自制作了 提供AB独有的家庭护理套件, 在家也可以进行系统的护理。
Loading...
通过构建多种安全管理系统,患者可以更安全地接受手术。

常驻麻醉疼痛医学专业医生,从手术前到手术中、手术后,实时管理所有手术的全过程。

麻醉疼痛医学专业医生实时监控手术中的患者,通过中心检测系统双重、三重地检查。

为了更安全的手术,构建院内检查系统,术前进行综合检查。

通过构建多种安全管理系统,患者可以安心更安全地接受手术。

*星期日,公休日休诊