颈部提升术是什么?
松弛下垂的颈阔肌由于老化而产生皱纹与松弛,导致颈部线条不清晰,因此需要通过手术进行改善。 AB整形外科会详细分析颈部皱纹的成因与皮肤状态,为每位顾客制定个性化方案并实施定制手术。
1. 耳后切开法
在耳后部位进行最小切开后,分离松弛的颈阔肌与皮下脂肪层,收紧并固定,再切除多余皮肤并缝合完成。
如需同时进行颈阔肌收紧、脂肪去除或唾液腺缩小术,可从根本上改善双下巴并降低复发可能。切口沿发际线进行,疤痕更不易察觉。
颈部提升前后
术前
术后一个月
强大的提升效果
从筋膜层、脂肪层、真皮层三重结构进行上提, 收紧皮肤的范围更广,改善效果更显著。
隐藏的切开部位
切口位于耳后发际线等不显眼的位置, 术后疤痕自然,不易被察觉。
2. 双下巴肌肉捆绑
当仅靠吸脂无法获得理想效果时,可通过吸脂去除皮下脂肪,并切除颈阔肌下方的深层脂肪,再将松弛的颈阔肌收紧固定。
这种“双下巴肌肉收紧术”可实现更加显著且持久的改善效果。
可同时去除颈阔肌与脂肪
当仅靠抽脂无法去除时,可连同颈阔肌及脂肪一起切除,确保双下巴的明显改善。
改善松弛的颈部肌肉
对于颈阔肌松弛、皮肤松垮者,通过缝合提升改善松弛的颈线。
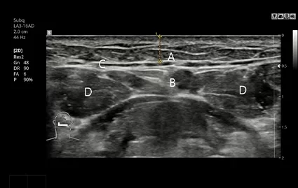
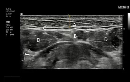
术前进行 CT 与超声波拍摄
通过 CT 与超声波分析筋膜的位置与大小,必要时进行精细的定制化筋膜去除手术。。
必要时进行唾液腺去除手术
若在改善双下巴时需要去唾液腺,AB 将使用特殊的尖端唾液腺去除设备进行唾液腺去除手术
颈部提升+双下巴肌肉捆绑 前后对比
手术前
术后1个月
颈部提升+双下巴肌肉捆绑 前后对比
手术前
术后17天
*根据个人差异(皮肤松弛程度、皱纹情况等),手术方式及改善效果范围可能会有所不同
双下巴肌肉捆绑详情 >
手术前

手术后 2个月

手术前

手术后 2个月

手术前

手术前 CT 拍摄

使用专用高端设备进行唾液腺切除手术

手术后 1个月

手术前
手术后 1周

手术前

手术后 1周
通过双下巴肌肉捆绑进行下巴假体植入的优势
恢复快
无饮食限制
感染概率低
口腔内无假体外露风险
AB 的优势
颈部提升,选择 AB 的理由
1. 精细化剥离技术
通过使用 FULL HD 内窥镜 进行更加细致、精准的剥离操作, 不仅能打造清晰、自然的面部与颈部轮廓线条, 同时还能最大限度减少组织损伤与出血量,实现更安全的手术效果。
2. AB 专属定制化设计咨询笔记
通过个性化定制提拉方案与设计咨询笔记, 在手术前对手术方法与流程进行系统性整理, 并据此制作专属的设计咨询记录
1. 精细化剥离技术
通过使用 FULL HD 内窥镜 进行更加细致、精准的剥离操作, 不仅能打造清晰、自然的面部与颈部轮廓线条, 同时还能最大限度减少组织损伤与出血量,实现更安全的手术效果。
2. AB 专属定制化设计咨询笔记
通过个性化定制提拉方案与设计咨询笔记, 在手术前对手术方法与流程进行系统性整理, 并据此制作专属的设计咨询记录
AB 专属定制诊断 · 管理系统
从术前咨询到术后恢复,由同一位主诊医生全程负责,提供 1:1 专属医疗服务
1. 主诊医生 1:1 定制化咨询
2. 主诊医生亲自执刀手术
3. 个性化主诊医生术中实时监测
4. 主诊医生术后专属管理
5. 主诊医生术后检查 · 1:1 随访管理
BEFORE & AFTER 颈部提升前后
全脸SMAS提升 + Endotine额头提升 + 颈部提升 + 双下巴肌肉捆绑 + 取颊脂垫 + 脂肪填充 + 上下眼睑手术
安全系统
通过构建多种安全管理系统,患者可以更安全地接受手术。

常驻麻醉疼痛医学科专家
常驻麻醉疼痛医学专业医生,从手术前到手术中、手术后,实时管理所有手术的全过程。

麻醉中实时监控
麻醉疼痛医学专业医生实时监控手术中的患者,通过中心检测系统双重、三重地检查。

术前安心检查
为了更安全的手术,构建院内检查系统,术前进行综合检查。

大学医院级安全装备
通过构建多种安全管理系统,患者可以安心更安全地接受手术。
关于提拉一些常见问题
20-30岁人群推荐能有效改善面部松弛的非手术疗程,如激光仪器,玻尿酸,肉毒素等施术。 30-40岁人群适合结合埋线提升、迷你拉皮等轻度手术方式,与20~30岁常用的非手术项目搭配进行效果更佳。 40岁以上人群推荐半面部或者全脸拉皮等手术方法。


























