INFORMATION SURGERY
手术时间
1小时左右
麻醉方式
局部麻醉或睡眠麻醉
访院治疗
2-3次
恢复期
5-7日后
RECOMMEND SURGERY
1. 因衰老出现眼皮下垂
2. 下垂的眼皮遮挡住视线
3. 睁眼无力导致额头皱纹加深
4. 因眼皮下垂出现皮肤溃烂
上眼睑
手术方法

01. 手术前

02. 术前设计

03. 沿着眼睛皱纹以双眼皮线切开

04. 去除下垂的双眼皮皮肤与脂肪,肌肉

05. 去除下垂的肌肉后牢牢固定隔膜

06. 缝合

06. 手术后

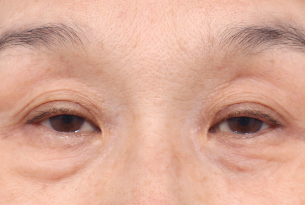
手术前

手术1周后

手术前

手术1个月后
上眼睑手术要注意不要给人过于强硬的印象
中年眼睛在手术时会显得凶猛或过于人为的感觉,所以更加需要执刀医生的熟练度和技巧。 AB是利用自然双眼皮原理的上眼睑手术法,适当的眼睛矫正强度调节和组织去除,以无痕技术打造自然漂亮的中年眼睛手术为目标进行手术
自然双眼皮原理
睁眼时,眼皮肌肉就会沿着皮肤折叠,形成自然双眼皮原理

AB上眼睑手术方法
AB上眼睑手术法是,像自然双眼皮一样,将隔膜浅固定在皮肤上形成自然的双眼皮

过去去除皮肤,脂肪,肌肉的话就会变成人为的凶狠的眼睛。 AB根据眼睛状态适量去除皮肤,脂肪,肌肉完成自然的眼型。

适当去除双眼皮皮肤,脂肪,肌肉

完成自华的弧度与眼眸
AB上眼睑是适当调整眼眸矫正力度与固定并不会产生深层疤痕。 闭眼也不会有明显的疤痕给人善良柔和的印象。

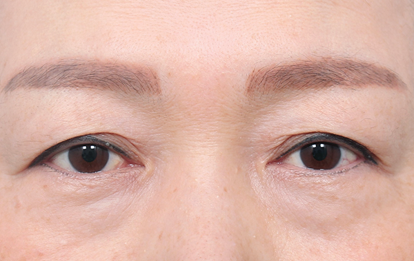
手术前

手术1个月

手术1个月

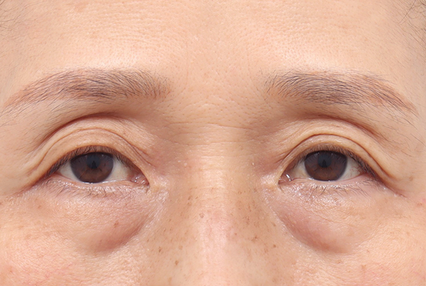
手术前

手术1个月

手术1个月
但上眼睑手术并非中年眼部整形唯一最正确答案。
上眼睑手术非适合案例
眉毛下垂严重 眼眉间距过近
睁眼力度差 有眼睑下垂症的眼睛
只进行上眼睑手术的情况
眼眉间距更近 给人不自然凶狠的印象
眼皮遮住眼球 给人无精打采的感觉
中年眼睛综合解决方案
通过提眉术,额头提升 适当的调整手术方案 改善中年下垂的眼眸

手术前

手术后3个月

手术前

手术后1个月
上眼睑,选择AB的理由
适当调整睁眼肌肉(隔膜)固定强度,牢牢地固定线条, 可以达到无痕不开,长时间维持的手术效果。

手术前
眼皮整体下垂 需要做上眼睑手术的眼睛

手术后1个月
牢牢固定1个月后的样子 不开,维持的非常自然的弧度

手术后6个月
适当的调节肌肉固定强度 6个月后无疤痕弧度
AB上眼睑可以同时改善因下垂的眼睑而产生的眼睛审美问题和伴随的眼睛功能问题。

由于内眼角和外眼角下垂 看起来像三角眼
Before surgery

以正常的眼睛形状 改善与皮肤间的纹理
2 month after surgery

睁开眼睛的力量很弱。 眼睛被遮住一半以上
Before surgery

加强睁眼的力量 用清晰的眼睛改善视野遮挡
1 week after surgery
3. 不断进行研究和发表论文
为了提高手术满意度和效果,研究新的整形技术并发表 持续参考学会及研究活动,具备了高度专业技术力。




AB在术前对个人的眼睛状态进行精密诊断和分析,不进行过度诊疗,只推荐必要的手术。
眼睛的整体形状眼睛的大小及形态
眼睛的长度及宽度
眼球暴露程度
眼皮的状态
眼皮的皮肤与肌肉下垂程度
皮肤的厚度
眼皮脂肪与内部脂肪的量与分布
睁眼肌肉的力度
额头提升
通过构建多种安全管理系统,患者可以更安全地接受手术。

常驻麻醉疼痛医学专业医生,从手术前到手术中、手术后,实时管理所有手术的全过程。

麻醉疼痛医学专业医生实时监控手术中的患者,通过中心检测系统双重、三重地检查。

为了更安全的手术,构建院内检查系统,术前进行综合检查。

通过构建多种安全管理系统,患者可以安心更安全地接受手术。

*星期日,公休日休诊